カテゴリー
月別アーカイブ
未分類
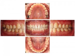
口腔内写真
今週のミーティングは、口腔内写真強化ミーティングです!
患者さんには、治療に入る前、途中など、記録としてお口の中の写真を撮らせてもらっています。
なぜ写真をとるのか。
それは、
●患者さんに、視覚的にわかりやすくお口の中の状態を知っていただくため。
実際、鏡で見ていただいても、奥の方や、歯の裏側などわからないですよね。
●歯茎や、歯の状態の変化を見て行くため。
●治療計画を立てるため
などなどなど‥
写真をとるときに出来るだけ規格性を持たせないとあとあと、前の写真と比べる時に分かりにくくなります。
なので、みんなで実習です!
上手くなって、患者さんに見ていただくときに分かりやすい写真をとれるよう頑張ります!


